Поделиться
- Telegram
- Viber
- ВКонтакте
- Скопировать ссылку
Full Code Medical Simulation

ОС
Android
Категория
Симуляторы
Разработчик
Язык
Английский
Дата обновления
27 December 2023
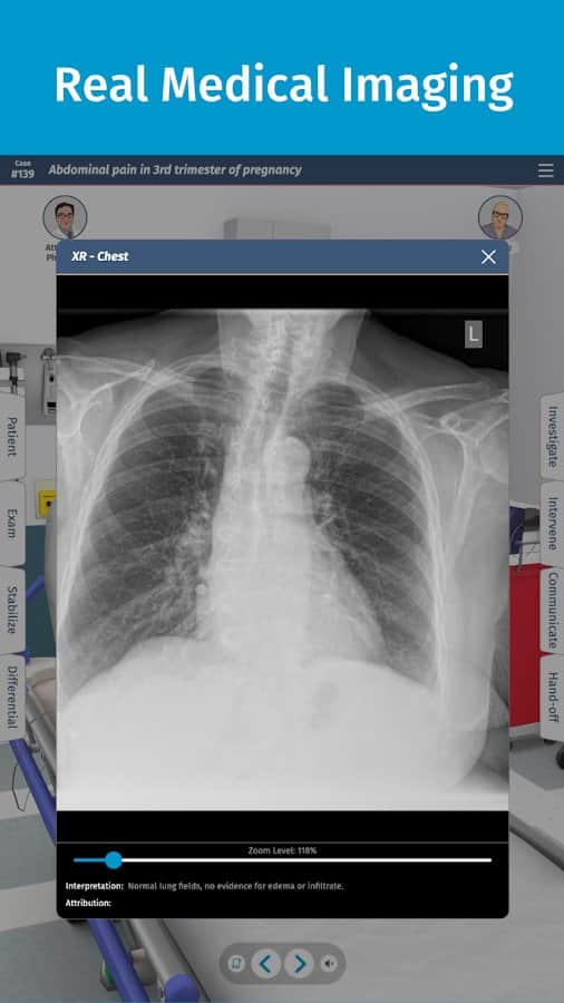
Full Code это инновационное мобильное приложение, созданное медицинскими специалистами с учетом потребностей студентов-медиков и профессионалов. Это приложение, отмеченное наградами, предлагает интуитивно понятный интерфейс для моделирования медицинских случаев. Свыше 170 реалистичных виртуальных кейсов и увлекательный игровой процесс делают его предпочтительным выбором для медицинских работников по всему миру.
Рейтинг приложения
Оценка редакции
Оценка 6 пользователей
7.3
Требования к v3.2
- Версия ОС: Android 7.0+
- Интернет: не требуется
- Требуется свободного места: 60 Mb
Скачать игруFull Code Medical Simulation
v3.2 Оригинал
Порекомендовал:
В избранноеПодписаться на обновленияЗапросить обновление

















![[forgotten] How much is your life worth](https://pdacdn.com/photo/th_maxresdefault-1-_13.jpg)







Комментарии к Full Code Medical Simulation на Android
Чтобы оставлять комментарии,
пожалуйста авторизуйтесь.
сделайте пожалуйста взлом этого приложения
Кринжанул....☠️
_Soul_, выличим.
NightliZZ, от кринжа наконец придумали лекарство? Не может быть!?!!
_Soul_, могёт.